
SMART NT scans focus on detecting early structural anomalies, not just measuring neck fluid.
Chat with our Genetic Counsellor, receive your at-home DNA kit with a quick cheek swab, send it back, and get your results in under 4 weeks.








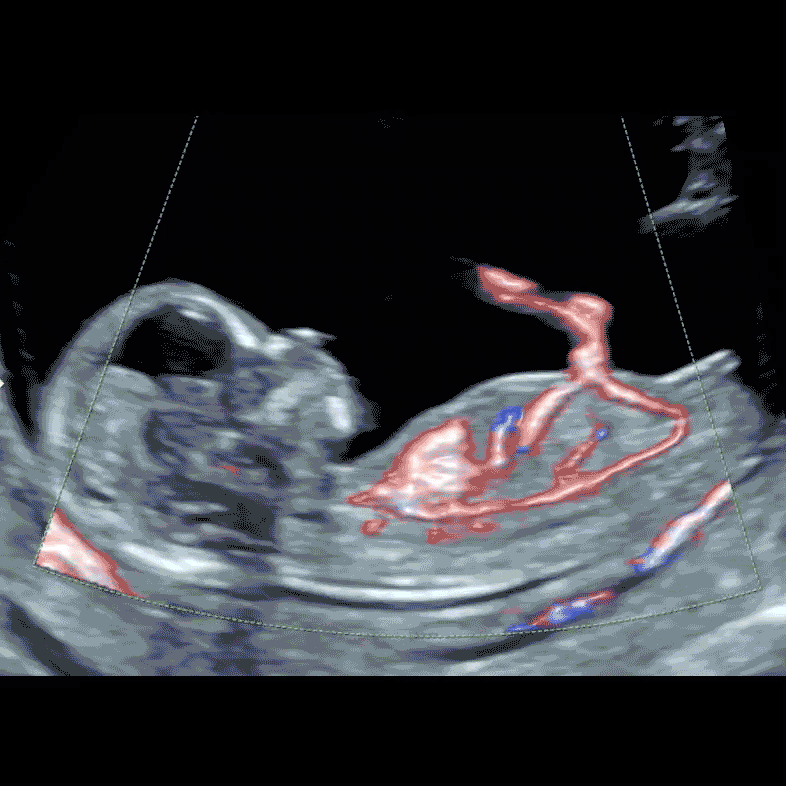
An Effective Two-Step Screening Protocol with Three Key Elements
Early diagnosis of increased NT triggers the SMART NT protocol. Detection of lethal anomalies, such as acrania or body stalk anomaly, serves as an exclusion criterion for NIPT.
Advanced genomic NIPT screens for multiple chromosomal and genetic conditions associated with increased NT, including dozens of clinically significant gene mutations.
A specialist scan aimed at excluding structural anomalies associated with high NT, particularly heart defects. It also assesses changes in NT over time, which provide important prognostic information.
Increased NT Cut-off day by day chart.
Carrier screening is a type of genetic test that checks whether you carry a gene for a hereditary condition, even if you don’t have any symptoms yourself. It’s most often used by individuals or couples planning a family, to understand the risk of passing on certain inherited conditions to their children.
Everyone carries some changes in their genes, but most don’t cause any health problems. Carrier screening looks for specific conditions that could be passed on if both partners carry the same faulty gene. If both you and your partner are carriers for the same condition, there’s a chance your child could be affected.
Carrier screening tests for a range of inherited conditions, including cystic fibrosis, Tay-Sachs disease, sickle cell anaemia, thalassaemia, and spinal muscular atrophy. At Jeen Health, our panel is pan-ethnic and includes 787 clinically relevant genes.
We focus on conditions that are serious, inherited in a recessive or X-linked manner, and have known health impacts. This means we test for conditions that could significantly affect a child’s quality of life, and that may not show up in either parent’s health.
Mostly yes, you can have carrier screening during pregnancy - depending on how far along you are. Ideally, carrier screening is done before conception so you have more time and options, but it’s still valuable if you’re already pregnant.
If you’re found to be a carrier during pregnancy, we may recommend testing your partner too. If both partners carry the same gene variant, there’s a 1 in 4 (25%) chance the baby could inherit the condition. Our genetic counsellors will support you through the next steps.
Yes, carrier screening is highly accurate at detecting known gene variants associated with inherited conditions. However, no test is 100% perfect, it’s possible, though rare, to be a carrier for a very rare or unknown variant not covered by the test.
At Jeen Health, we use advanced laboratory techniques and clinically validated panels to provide the most accurate results possible. Your results are interpreted by specialists to ensure they’re meaningful and reliable.
Mostly yes, you can have carrier screening during pregnancy - depending on how far along you are. Ideally, carrier screening is done before conception so you have more time and options, but it’s still valuable if you’re already pregnant.
If you’re found to be a carrier during pregnancy, we may recommend testing your partner too. If both partners carry the same gene variant, there’s a 1 in 4 (25%) chance the baby could inherit the condition. Our genetic counsellors will support you through the next steps.
Results usually take 3-4 weeks from when your sample reaches our lab. We’ll keep you updated and book a follow-up consultation to explain your results once they’re ready.
If further testing is needed for your partner, we’ll move quickly to support you and keep the process smooth. Our aim is to give you answers without delays, so you can plan your next steps with confidence.
The cost of carrier screening in the UK can vary depending on how many conditions are tested and whether the screening is tailored to your background or family history. At Jeen Health, our tests start from £400, which includes the test kit, lab analysis, and a pre test consultation with one of our genetic counsellors.
Unlike the NHS, which only offers limited screening in specific cases, private testing gives you access to a wider range of conditions and more personalised support. It’s a one-time investment that can provide valuable insight into your family’s genetic health and help you make informed decisions about your future.
Carrier screening is recommended for anyone planning a pregnancy or currently expecting, especially if there's a family history of genetic conditions or if you come from an ethnic background with higher risks of certain inherited diseases. However, even people with no known history can be carriers without knowing it.
It’s particularly helpful for couples who want to make informed decisions about starting a family. Carrier screening can provide peace of mind or allow you to explore options like IVF with genetic testing, egg or sperm donation, or early diagnosis and support if you decide to conceive naturally.
Carrier screening can be done easily and painlessly. Most people use an at-home saliva kit, collecting a cheek swab with a soft swab in just a few minutes. In some cases, depending on your location and test type, a blood sample may be required, this can be arranged either at our partner Spital Clinic in London or through a home phlebotomy visit.
Once your sample reaches the lab, your DNA is analysed to check for specific gene variants linked to inherited conditions. Our expert team will review the results, and you'll receive a detailed report along with a follow-up consultation to walk you through what it means for you and your family.
If you’re a carrier, it means you have one copy of a gene variant linked to a particular condition. You won’t usually have symptoms, but if your partner is also a carrier for the same condition, there’s a risk of passing it on to your child.
Our genetic counsellors will talk you through your results and what they mean. Depending on your partner’s results and your family plans, you may consider further testing, reproductive options, or simply keeping this information in mind for the future.
If you’re a carrier, it means you have one copy of a gene variant linked to a particular condition. You won’t usually have symptoms, but if your partner is also a carrier for the same condition, there’s a risk of passing it on to your child.
Our genetic counsellors will talk you through your results and what they mean. Depending on your partner’s results and your family plans, you may consider further testing, reproductive options, or simply keeping this information in mind for the future.
It’s ideal for both partners to be tested, but we usually start by testing one. If that person is not a carrier, no further testing is needed. If they are, then their partner should be tested to check for the same condition.
This step-by-step approach helps keep testing straightforward and cost-effective. Our team will guide you based on the results and help you understand your reproductive risks together.
Carrier screening is available on the NHS in specific situations, such as if you or your partner are from certain ethnic backgrounds or have a known family history of a particular condition. However, comprehensive screening for multiple conditions is not routinely offered.
Jeen Health provides private carrier screening with the support of expert genetic counsellors. This gives you access to broader testing, at your convenience, from the comfort of your home.
X-linked conditions are genetic disorders caused by changes in genes found on the X chromosome — one of the two sex chromosomes. Since males only have one X chromosome (and one Y), if they inherit a gene variant on the X chromosome, they’re more likely to be affected by the condition. Females have two X chromosomes, so if one carries a faulty gene, the other can often compensate, which means women are usually carriers without symptoms.
Some common X-linked conditions include Duchenne muscular dystrophy and fragile X syndrome. If you’re a female carrier of an X-linked condition, there’s a 50% chance of passing the gene to each child. Sons who inherit it are more likely to be affected, while daughters may become carriers like you.
Our team of experts is here to help. We're just a message away.